
很多人都有过这样的经历——久坐几小时后,下意识转一下脖子,“咔咔”的响声随之而来,摸上去脖子后面还有个明显“突出的骨头”,心里瞬间咯噔一下:是不是颈椎出了大问题?其实这种“响+突出”的组合,不一定是严重病变,但也可能是颈椎关节紊乱发出的预警信号,关键是要分清背后的真相,别踩坑也别忽视。
颈椎转动时的响声,在医学上被称为“颈椎弹响”,主要分为生理性和病理性两种,两者的区别直接关系到是否需要干预。生理性弹响是颈椎关节腔内的气体振动产生的:关节腔里充满了起润滑作用的滑液,当关节突然转动时,腔内压力会瞬间变化,溶解在滑液里的氮气等气体快速逸出,就会发出清脆的“咔咔”声。这种弹响通常是偶尔出现的,且同一姿势下短时间内不会重复发生,比如长时间保持一个姿势后转一次脖子响一下,之后没有疼痛、僵硬、麻木等不适,属于正常的生理现象,一般无需特殊处理。
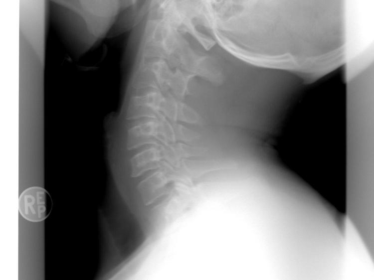
但如果是病理性弹响,情况就不一样了。它大多与颈椎关节紊乱有关——颈椎由7块颈椎骨组成,每块骨头之间通过小关节连接,当颈椎小关节的解剖位置发生微小错位时,关节面会变得不平整,转动脖子时错位的关节相互摩擦、撞击,就会发出沉闷或粗糙的响声,同时还可能伴有颈部酸痛、僵硬、活动受限,甚至肩膀、手臂的放射性疼痛或麻木。这种弹响是颈椎退变的早期信号,需要及时关注。
至于脖子后面“突出的骨头”,很多人会误以为是“长骨刺”或“椎间盘突出”,其实最常见的情况是第7颈椎棘突。第7颈椎是颈椎最下方的一节,它的棘突比其他颈椎棘突更长、更突出,尤其是在低头时会更明显,属于正常的生理结构,几乎每个人都有,只是有些人因为体型偏瘦、颈部肌肉薄弱,显得更突出而已。但如果突出的位置不在第7颈椎,或者伴有疼痛、肿胀、活动不灵活,那就可能与颈椎关节紊乱有关:颈椎小关节错位后,局部肌肉紧张、痉挛,会让某个棘突看起来更突出,少数情况下也可能是颈椎间盘突出的早期表现(不过椎间盘突出位于颈椎内部,通常摸不到,需要通过影像学检查确认)。
搞清楚颈椎响与突出感的本质后,不少人仍会因认知偏差错过干预时机,以下4个常见误区需特别警惕——
在颈椎问题的认知上,很多人容易走进误区,导致小问题拖成大麻烦,以下4个误区一定要避开: 误区1:“转动脖子响只要不疼,就不用管”——很多人觉得颈椎响但没痛感,就是“小毛病”。但病理性弹响早期可能确实没有明显疼痛,可如果长期忽视,颈椎小关节的错位会逐渐加重,导致关节软骨磨损、颈椎稳定性下降,慢慢发展成颈椎病,出现持续疼痛、头晕、手麻等症状,甚至压迫神经影响日常生活。 误区2:“突出的骨头就是颈椎病,得赶紧做手术”——这是典型的过度焦虑。前面已经说过,大部分突出的骨头是第7颈椎棘突,属于正常生理结构。即使是颈椎关节紊乱导致的突出,早期也不需要手术,通过康复理疗、姿势调整就能有效改善,只有当突出严重压迫神经或脊髓时,才需要医生评估是否进行手术治疗。 误区3:“经常转动脖子能‘复位’,消除响声”——有些人觉得脖子响是“关节卡住了”,于是反复转动脖子甚至甩头,想让关节“归位”。但这种做法反而会加重颈椎小关节的磨损,甚至导致错位更严重,还可能损伤颈部肌肉和韧带。正确的做法是避免频繁、用力转动脖子,尤其是大幅度的甩头动作。 误区4:“靠按摩仪或偏方就能治好颈椎响”——按摩仪可以通过热敷、振动缓解颈部肌肉紧张,让身体感觉舒服一些,但不能解决颈椎关节紊乱的根本问题。如果按摩仪使用不当(比如力度过大、频率过高),还可能损伤颈椎,尤其是有颈椎不稳的人,可能会加重病情。至于一些“祖传偏方”“颈椎复位枕”等,大多没有科学依据,不仅无法解决问题,还可能延误治疗,甚至带来安全风险。需要注意的是,按摩仪、偏方等不能替代药品,具体是否适用需咨询医生。
面对颈椎响和突出感,既不用过度焦虑,也不能完全忽视,以下4步科学应对,能有效保护颈椎: 第一步:先区分弹响类型——生理性弹响的特点是偶尔出现、声音清脆、无伴随不适;病理性弹响则是频繁出现、声音沉闷或粗糙、伴有颈部酸痛、僵硬。如果是病理性弹响,建议及时到正规医疗机构就诊。 第二步:做针对性检查——如果不确定突出的原因,或出现病理性弹响,最好到骨科或康复科就诊,做颈椎X线检查(查看颈椎的生理曲度、棘突位置是否正常)、CT(观察颈椎小关节的结构是否错位)或磁共振(明确椎间盘是否突出、神经是否受压),通过检查明确是生理结构还是病理改变,避免盲目处理。 第三步:针对性调理——如果确诊为颈椎关节紊乱,医生通常会建议进行康复理疗,比如颈椎牵引(通过牵引增加颈椎间隙,缓解关节压力)、手法复位(由专业康复师操作,纠正小关节错位,注意不可自行尝试)、物理因子治疗(如中频电疗、超声波治疗,缓解肌肉紧张和疼痛)。同时可以在医生指导下进行颈椎康复锻炼,比如“米字操”(动作要缓慢、轻柔,每个方向停留3-5秒,避免过度用力)、颈部后伸训练(靠墙站立,头部缓慢向后仰,感受颈部肌肉拉伸,停留5秒后放松,重复10次),通过锻炼增强颈部肌肉力量,维持颈椎稳定性。需要注意的是,特殊人群(如孕妇、有严重颈椎病、骨质疏松的患者)在进行康复锻炼或理疗时,必须在医生指导下进行。 第四步:日常防护要到位——颈椎的保护关键在日常,以下几点要做好:保持正确坐姿,电脑屏幕与眼睛平齐,肩膀放松,腰背挺直,避免长时间低头(看手机时把手机举到与眼睛平齐的高度);选择合适的枕头,高度以8-12厘米为宜,能支撑颈椎的生理曲度,避免过高或过低导致颈椎变形;每坐30-40分钟起身活动,做几个缓慢的颈部后伸、左右侧屈动作,缓解颈椎压力;注意颈部保暖,避免空调或风扇直接吹颈部,寒冷刺激会导致肌肉痉挛,加重颈椎不适。
不同人群的颈椎负担不同,防护重点也不一样,以下是针对性建议:
如果颈椎响的同时,出现持续的颈部疼痛、僵硬,甚至伴有头晕、恶心、呕吐、手臂麻木、无力,或者走路不稳、有踩棉花感,说明可能压迫到了神经或脊髓,必须立即到医院就诊,避免延误病情,导致严重后果。